An overview of the data

Motion_093

Back››

Water-fat quantification

Dixon based water fat quantification, for information look here».

  • Out phase image

The out-phase image of the dixon reconstruction for water fat quantification.

  • Fat fraction

The fat fraction of the lower extremity obtained from the dixon reconstruction for muscle water fat quantification.

  • R2 star relaxation

The R2 star relaxation time of the lower extremity obtained from the dixon reconstruction for muscle water fat quantification.

  • SNR distribution

The SNR distribution of the dixon data.

  • Number of double bonds in subcutanious fat

Number of double bonds in subcutanious fat.

Water only T2 mapping

Multi echo spin echo T2 relaxation time mapping with EPG reconstruction, for information look here».

  • Water only signal

The water part of the acquired multi-echo spin echo data.

  • Water only T2 relaxation time

The water only T2 relaxation time of the lower extremity obtained from multi echo spin echo t2 mapping with EPG based reconstruction.

Diffusion tensor imaging

Diffusion weighted imaging with IVIM and DTI fitting to obtain muscle microstructure and muscle architecture, for information look here».

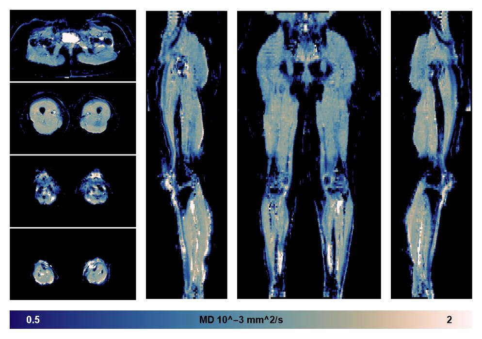
  • Mean diffusivity

IVIM corrected whole leg muscle mean diffusivity obtained from diffusion tensor imaging.

  • Fractional anisotropy

IVIM corrected whole leg muscle fractional anisotropy obtained from diffusion tensor imaging.

  • SNR of the unweighted image

SNR distribution of the unweighted diffusion data.

Muscle segmentation

Convolution neural network based (UNET) fiber automated muscle segmentation, for information look here».

  • 3D volume render of automated muscle segmentation.

3D render of automated muscle segmentation labels generated using a CNN UNET.

  • Automated muscle and bone segmentation.

Overlay of automated muscle segmentation labels on dixon water image.

  • 3D volume render of automated bone segmentation.

3D render of automated bone segmentation and force lines.

Muscle fiber tractography

Whole leg muscle fiber tractography using DTI, for information look here».

  • 3D volume renders of muscle fiber tractography

Whole leg 3D fiber tractography of all muscles segmented using a CNN UNET.

  • Muscle fiber length map

Muscle fiber tract length map based on whole leg DTI based fiber tractography.

  • Muscle fiber angle map

Muscle fiber tract angle map based on whole leg DTI based fiber tractography.

  • Muscle fiber density map

Muscle fiber tract density map based on whole leg DTI based fiber tractography.

  • Muscle fiber curvature map

Muscle fiber tract curvature map based on whole leg DTI based fiber tractography.

List of scanned participants

Other projects